加藤歯科医院

加藤歯科医院 電話番号:0284-44-3639
TOP

ホワイトニング

ホワイトニングとは、歯の表面上の汚れを落としてきれいにしていくのではなく、歯自体の色調を白くしていくものです。専用のジェルを用いて白くしていくシステムで、歯を削ることなく、また痛みもなく行えますのでご安心ください。

営業や、接客業の方、就職活動の方、結婚式を控えたカップルなど、手軽にイメージアップがはかれます。

適応外の症例がありますので、ドクターにより口腔内の状態を確認させていただいた上で、判断させていただきます。すぐに、始められる場合もございますが、その他の術前処置が必要になる場合もございます。 まずは、お気軽にご相談ください。

ホワイトニングの流れ

口腔内のチェック

ホワイトニング前の処置はとても重要ですので、お口の中の状態を確認し、ご相談の上で処置方針を決定します。

虫歯や治療の必要な歯がない場合、すぐに始められます。

虫歯や治療の必要がある場合は、ホワイトニング前に治療を完了させていただきます。ホワイトニング中に痛みなどが出てしまった場合、中断しなくてはならず、中断した後再開しても効果が半減してしまうためです。

ホワイトニング前の治療実施
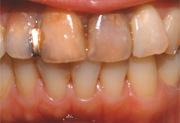
前歯にむし歯があり古い治療痕も見られます

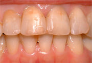
ただし、前歯に虫歯がある場合や前に受けた治療で変色をしているものは、ホワイトニング終了後、白くなった色調に合わせ治療していきます。また、症状がある場合は、先に治療を行う場合もございます。(右図参照)

口腔内の清掃

虫歯の治療が済んだあと、歯石除去及び歯面のクリーニングを行います。これは、歯面をより白くさせるために重要です。虫歯治療の途中で歯石除去は行いますが、ホワイトニング直前にあらためて歯面清掃を行います。痛みを伴うものではありません。

歯型採取

クリーニング終了後、歯型を取ります。歯型がとれましたら、次回来院時までにホワイトニング専用のトレーを当院にて作成します。

トレーの完成
固まった石膏にワックスアップします
石膏を注ぎます

トレーの口腔内試適

ホワイトニング専用トレーを装着し、適合状態や痛みなどないかをチェックしていきます。ソフトタイプのトレーですので、装着による難しさは、全くありません。ゆるい場合、再製作させていただきます。また、装着時、痛みなどありましたらご遠慮なくお伝えください。この時点で痛い場合、ホワイトニング期間中は、もっと痛みを生じるかもしれません。ご使用方法は、その場でドクターよりご説明させていただきます。

使用方法と注意事項

  • 就寝前、ブラッシングをしていただき、トレー内部にホワイトニング専用ジェルを注入し、装着していただきます。装着時間は5時間以上となりますので就寝時が、適当かと思われます。
  • 使用量は専用ジェルの4分の1程度となりますが、歯の大きさなどにより若干、使用量も調節していただきます。
  • 装着期間は、3週間となります。上下行う場合6週間となります。もし、3週間で色調の変化があまり表れなかった場合、さらにもう1週間追加させていただきます。それでも色調の変化が認められなかった場合、それ以上の効果は期待できませんのであらかじめご了承ください。
  • また、1週間ごとに御来院いただき、トレーの適合状態など再チェックをします。歯面のクリーニングも合わせて行います。その際、歯質強化のためフッ素塗布が必要(別途500円)となりますので、トレーは忘れずにご持参ください。
  • 朝は、トレーを外していただき、お水で軽くお掃除してください。注意事項としまして、朝、トレーを外してから1時間はコーヒー、紅茶、お茶などの着色しやすい飲み物はお控えください。
  • 使用中、歯がしみることがあります。その場合、遠慮なさらずお伝えください。しみ止め用の薬剤(別途2000円)もご用意してあります。

その他、ご不明な点がございましたら、ご質問ください。

カード決済はじめました

自由診療時のみカード決済でのご精算を受け付けております。