加藤歯科医院

加藤歯科医院 電話番号:0284-44-3639
TOP

矯正歯科

矯正治療とは、悪い歯ならびや「かみ合わせ」を正常な状態に治療し、機能的にも生理的にも、そして精神的にも健康な状態を作り出す治療の事です。

正しい「かみ合わせ」は、虫歯の予防・歯周病の予防や改善に寄与し、その結果、自分の歯を長持させる事にもつながります。また、治療によって物を咬む能力を向上させる事により、正しい方向への「あご」の発育が起こり、顔全体の感じが良好に変化するなど、身体全体の健康とその人の性格などにもかかわる大事な治療とも言えます。

当院では調和のある正しい歯ならび、そして調和がとれた美しい笑顔のために、スタッフ一同親切に、やさしく、誠実に取り組んでおります。矯正治療に関してなんでもお気軽にご相談下さい。無料相談も承ります。

当院の矯正システムについて

矯正は、各年齢に応じた治療法が選択されます。下記の内容をご参考にお子様の治療の目安にしてください

0から3

なし

この時期での治療は必要ありません。しかし、後に矯正が必要となるような悪習癖(指しゃぶり、爪かみなど)をお持ちのお子様は注意が必要です。

4歳から

うけ口(下顎前突)

この時期は、主に骨格的に下あごが出ていて将来そのまま改善されないようなお子様に対して治療が必要となります

ムーシールド(取り外し式)

「ムーシールド」は反対咬合(受け口)を直すために1983年から普及しているマウスピース型の矯正器具です。歯型を取らないため、小さな患者さんも苦痛を経験することなく、ムーシールドを直ちに装着することが可能です。

正常なかみ合わせの人は、唾を飲むとき、舌が上顎に接します。しかし、反対咬合の人の舌は、唾を飲むときに下顎から離れず、下顎を前に押し出すように作用します。ムーシールドは、舌を挙上するように訓練する装置です。口を開けて寝ていても唾液を嚥下するときには必ず口を閉じます。そのときに筋肉が働いてムーシールドの効果であごを正常な位置に戻そうと筋肉が訓練されます。

  • 早期に治療することで骨格的なずれの改善が期待できる
  • まだ精神的に幼い時期の治療のため、装着の意思がないと効果がでにくい

7歳頃から

歯のがたがた(そう生)

拡大装置(取り外し式)

顎の幅を広げることで歯が生えるスペース不足を補います

  • 早期に治療することでこの装置のみの治療で終了する可能性がある
  • 将来的に抜歯の必要性がなくなる可能性が高まるので、後の矯正治療が短期間で終了しやすい
  • 患者の装着の意思がないと効果が出にくい。
  • この装置のみではすべての歯はきれいに並ばない可能性がある

12歳頃から成人

歯のがたがた / すきっ歯 / 下顎前突 / 上顎前突 / 開咬 …など、すべての矯正治療

マルチブラケット(固定式)

全症例

一つ一つの歯にブラッケットを付けてすべての歯をきれいに並べていく治療法です。(抜歯が必要な場合もあります)

  • 細かなずれまできれいになる。
  • ブラッシングに気を付けないと虫歯になりやすく歯肉も腫れやすい。装置が若干目立つ。
スマイルトゥルー(取り外し式)

短期間(半年~1年程度+保定期間)で目立たない、かつ矯正治療では比較的安価(15万~30万程度、症例の難易度によって変動あり)で初められる成人矯正(高校生以上)です。

軽度のガタガタ / すきっ歯 / 矯正治療数年後の後戻り

マウスピース型の治療法です。軽度のがたがた、すきっ歯等の症例向けです。

歯型模型を最先端の機器を用いて3Dデータにし、米国の専門チームが独自のソフトウェアを使用して、歯を正しくきれいな位置にデザインします。治療を始める前に、最終的な歯並び予測を3D画像上で確認することができ、納得してからスタートできます。

使用方法はとても簡単で、1日20時間装着し、2週間ごとに新しいマウスピースに交換するだけです。マウスピースはすぐに慣れるため、会話にストレスを感じることも少ないでしょう。取り外しが自由にでき、ブラッシングが容易でお口もマウスピースも衛生的に保てます。

  • 二週間ごとに交換、そして治療までの交換枚数が決まっているので、スケジュールが明確
  • クリアなマウスピースで目立たない
  • リーズナブルで治療期間も短縮
  • 違和感やストレスが少ない
  • 治療の適用範囲が限られる

ホワイトニングも同時に御希望の方は通常より安価にてご提供

詳しくはこちら まずはお電話を無料相談受付中

矯正治療の流れ

初診相談

不安や疑問について何でも相談して下さい。 治療の時期、矯正治療の概略について説明します。

精密検査

治療が必要な場合には、治療方針を立案するために 必要な資料をとります。(レントゲン写真・歯型など)

治療説明

検査結果をもとに、現在の状況、最適な治療方法、 治療費について説明します。すべての歯に装置をつけて治療する「全顎矯正」が必要か、一部の歯にだけ装置をつける 「部分矯正」で対応できるか相談します。 装置の種類、開始時期などは、できるだけご希望に沿うよう相談します。ご家族で相談して頂き十分に納得された上で 治療が始まります。

矯正治療

治療開始後は、3週間に1回ほどの定期的な 通院が必要です。全顎矯正の場合約2年、 部分矯正の場合約半年~1年の期間が必要です。

保定期間

歯並びを安定させる期間として、3~6ヶ月に1回ほどの通院が必要です。

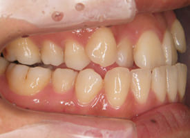
矯正治療例

同一患者の治療例です。左側からの画像、右側からの画像となっています。

矯正治療 Q&A

矯正治療はいつ頃から始めればよいのですか?

患者さんの年齢や不正咬合の種類、永久歯への生え替わりの状態、治療法などによって治療をスタートする時期がちがいます。適切な治療開始時期については当院にご相談ください。低年齢で早く始めたほうが良い歯並びや咬み合わせは、次の通りです。

  • 下顎前突(受け口)
  • 上顎前突(出っ歯)
  • 開咬(上下の前歯が開いている)
  • 交叉咬合(上下の歯列が横にずれている)

子供の場合、本人の矯正したいという気持ちや、受験の問題、保護者の転勤などでも考えて、治療を始める時期を決めることが大切です。

矯正治療はどれくらいの期間がかかりますか?

症状や年齢によってちがいます。永久歯列で、上下の顎のバランスには問題が少なく、顎と歯の大きさのバランスが悪い場合の治療期間は2~3年位です。

遺伝的要素がある下顎前突(受け口)では、第1段階の早期治療を終えても、成長期に下顎の発育が著しい場合には、すべて永久歯に生え替わると咬み合わせが再び不安定になることがあります。そのため、第2段階の仕上げの治療が必要になり、長期間かかる場合があります。

治療中でも、スポーツや楽器の演奏ができますか?

柔道や空手のような激しい格闘技では、くちびるの裏側を装置で傷つけることがあります。また、クラリネットやサックスのような楽器は、指しゃぶりと同じような力が前歯にかかるので、出っ歯になったり、治療のための歯の移動を妨げることがあります。いずれにしても、口の中を傷つけたり、治療の進行を妨げる恐れがある場合は、あらかじめ当院にご相談ください。

矯正治療は成人になってからでもできますか?

できます。しかし、子供に比べると、顎の成長発育が終わっているので、歯の移動がおそく、治療結果にはある程度の限界があることもあります。最近では日本でも、欧米と同様に、顎や歯の健康を保つため、あるいは対人関係でセルフイメージをよくするため、成人が矯正治療を受ける例が多くなっています。

抜歯しないで矯正できるのはどんな場合ですか?

顎と歯の大きさや、上下の顎のバランスが良く、軽度のでこぼこで口元が比較的よい場合には、抜歯しないで治すこともあります。抜歯しないで矯正できいるかどうかは、レントゲンや歯型などの資料を分析して診断します。

日本人は、歯が大きくて顎が小さく、乱ぐいや出っ歯が多い民族です。歯並び、咬み合わせ、口元を良くするために、犬歯の後方の歯(第一小臼歯)を抜いてスペースを作り、矯正治療をおこなうケースが多くなります。

カード決済はじめました

自由診療時のみカード決済でのご精算を受け付けております。